Skip to content
  • Home
  • About me
  • Clinic
  • Implant-Dentistry
  • Teaching & Learning
  • Courses
  • Resources
  • Home
  • About me
  • Clinic
  • Implant-Dentistry
  • Teaching & Learning
  • Courses
  • Resources
Contact
Implant + Dentistry – Nikos Mattheos
  • Home
  • About me
  • Clinic
  • Implant-Dentistry
  • Teaching & Learning
  • Courses
  • Resources

Mastering Implant Complications!

Course Description

When implant treatments go wrong, the cause of trouble is often hidden and the clinical findings can be misleading! In this multidisciplinary online masterclass, you will learn how to find the real causes and how to design step-by-step the proper management strategies!

About this course!

The increasing application of dental implants has resulted not only in a significant increase in the frequency but also complexity of problems we encounter with implant patients. Given the invasiveness and cost of implant therapy, as well as the patients’ expectations, implant complications can jeopardise treatment success and significantly affect patients’ satisfaction and trust. Typically implant complications have been classified as biological (mainly involving inflammation or pathology of the peri-implant tissues) and technical (involving the various implant or prosthesis components). These two major groups of complications have been traditionally examined as separate and non-related pathologies. Nevertheless, increasing evidence points to the close interrelation between biology and technology. Whether clinically manifested as screw loosening, Veneer chipping or plaque induced periimplantitis, very often, a biological problem could be the underlying factor for a technical failure and vice versa. Consequently, understanding of both biological pathogenic mechanisms, technical limitations as well proper comprehensive pretherapeutically treatment planning is the key for the prevention and successful management of implant complications.

This  evidence-based yet highly practical online Masterclass  will adopt a comprehensive and inquisitive point of view, aiming to identify the common underlying factors of the most frequent types of problems encountered with dental implant treatments, whether this is technical or biological. Guided by actual patient cases, we will investigate the interrelation between the biological and technical causes and design the proper strategies for the prevention, the early diagnosis and management of implant related problems.

About the Masterclass Team!

Dr. Nikos Mattheos and Dr. Martin Janda’s collaboration dates back to the late 90s, when they both were PhD students in Malmo University in Sweden. Back then - when Internet was still in its infancy they worked together in Information Technology for teaching and learning. As part of their research they developed pioneering projects such as Virtual Patients and Virtual Classrooms and published some classic studies in on-line pedagogy. They shared many scientific publications and the prestigious IADR Young Researcher’s Award in 2003. After that they followed supplementary pathways. Martin Janda specialized in Prosthodontics in Malmo, Sweden, while Nikos Mattheos in Periodontology in the University of Bern, Switzerland. They continued to collaborate around the world in teaching and research with focus in Implant Dentistry. Martin Janda developed pursued research on the impact of technical prosthesis design in various types of complications, while Nikos Mattheos conducted several studies on peri-implant tissues microbiome and pathogenesis, as well as bone regeneration and management of peri implantitis. Martin and Nikos met again at Griffith University in Australia where they designed a Masters’ course and they conducted a series of experiments investigating the implant-abutment connection showing its importance for long term stability of prosthesis but also biological outcomes. They have recently spearheaded the concept f the "Implant Supracrestal Complex" a new comprehensive paradigm for designing implant therapy and preventing complications.

Martin Janda is currently a specialist prosthodontist in Lund, Sweden and Associate Professor in Malmo University. Nikos Mattheos is Visiting Professor at Chulalongkorn University in Bangkok and affiliated with Malmo University and Karolinska Institute.  They continue their research and teaching focused on bio-technical complications and the role of design and treatment planning in maintaining long term successful outcomes. As they have co-authored a handbook and several scientific publications on implant complications, this course is the intersection of science with clinical experience, aiming to give you a completely new understanding - evidence based yet practice driven - on how to design and execute implant therapy!

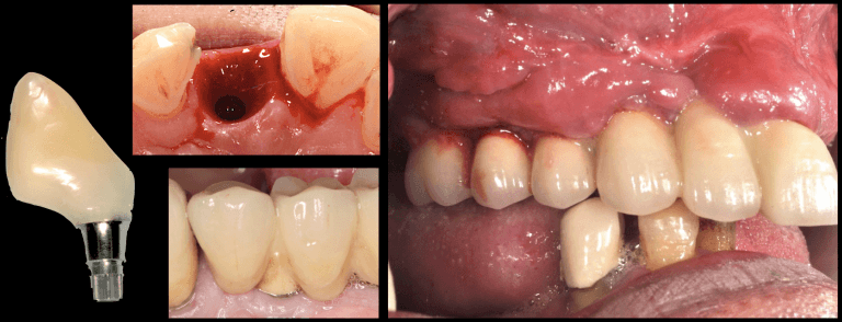
Course Gallery

Course Details

  • November 2025
  • Dentopia Academy, Bangkok
  • English
  • Max 20
  • Status: Opening Soon
  • Complexity: Complex
  • Registration opens in June 2025
    Early bird 2,000 USD (by 31st August 2025)
  • Download Flyer
Register Now

Course Instructors

Loading...

Dr. Nikos Mattheos

Dr. Martin Janda

Facebook-f Twitter Youtube Linkedin

About me

  • About Me
  • Teaching & Learning
  • Implant Dentistry

get started

  • Courses
  • Resources
  • Research
  • Feedback

Newsletter

Don’t miss our news and  updates!

  • Home
  • About me
  • Clinic
  • Implant-Dentistry
  • Teaching & Learning
  • Courses
  • Resources